HT Hayat Anasayfa Embriyo seçimi neye göre yapılıyor? | Hamilelik

Artan üreme sorunları sebebiyle tüp bebek tedavisi günlük hayatımıza girdi. Bununla beraber çoğul gebelikler ve bunlara bağlı gelişen komplikasyonlar da artınca 2010 yılında Sağlık Bakanlığı, hastalara transfer edilen embriyo sayısını sınırlayıcı bir kanun çıkardı.


Buna göre 35 yaş altındaki hastaların ilk iki seferde tek embriyo transfer etmek zorunlu. Tek embriyo transferi ile düşen gebelik şansını kompanse etmek için mühendisler işe koyuldular ve yaşama şansı en yüksek embriyoyu seçecek; döllenmenin ilk anından transfere kadar gelişimini dakika dakika izleyecek aletler yaptılar. (Bu aletlerden birini görmek üzere Eurofertil’e davet edildiğimde bilimkurgusal bir ortamda kavanozlara koyulmuş bebekler göreceğimi zannettim.) Beni karşılayan Kadın Hastalıkları ve Doğum Uzmanı Dr. Hakan Özörnek ile tüp bebek tedavisinin detaylarını ve kısırlığın artış sebeplerini konuştuk...


Embriyo transferine neden kota geldi?

2010’dan önce Türkiye’de yapılan her iki tüp bebekten biri çoğul gebelikti. İşin doğrusu ne kadar çok transfer yaparsanız gebelik ve çoğul gebelik ihtimali o oranda artar. Çoğul gebeliklerin sonucunda erken doğma, kuvöz ihtiyacı hatta ölümler sıklıkla gözlemlendi. Sağlık Bakanlığı da bu yüzden yönetmeliği değiştirerek transfer edilen embriyo sayısına bir kota koydu. Belçika'da ve Amerika'da şu yaş gurubuna şu kadar embriyo transfer edilmeli diye tavsiyeler var ama son karar yine doktorda. Kuzey Avrupa ülkelerinde çok uzun zamandır tek embriyo transfer ediliyor. Lakin bu ülkelerde istediğin kadar deneme hakkın var. Devlet hepsini karşılıyor. İstersen on defa dene.


Bizde durum ne?

Devlet iki denemeyi karşılıyor; olmadıysa gerisini karşılamıyor. Embriyo kalitesi kötü olan hastalarda, belirli bir noktaya gelebilmeleri için birden fazla transfer gerekiyor. Embriyo kalitesi için belirli bir kanun yok. Bize gelen hastaların çoğu bir daha bu tedavi masraflarını denkleştiremeyeceğini söylüyor. Eğer laboratuar şartlarınız kötüyse bunu dengelemek için embriyo sayısını arttırıyorsunuz. Ve sayılabilen bir şey olduğu için başarıyı kanıtlamak durumundasınız. Tabii bu yönetmelik çıktıktan sonra iş şu noktaya geldi; tamam tek embriyo transfer edelim ama hangisini edelim? Tabii ki en iyisini.



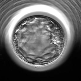
En iyi yumurtayı nasıl seçiyorsunuz?

Eski tip seçimde yumurtalar bir dolabın içinde 37 derecede bekler; biz de her gün bir defa dışarı çıkartıp hangisinin daha iyi durumda olduğuna bakarak seçeriz. Şimdi yeni bir cihaz var: Embryoscope. Yapay rahim gibi düşünülebilecek bu cihaz ısı, nem, ışık vs. şartlar bakımından anne rahimini birebir taklit ediyor. Yumurta ve spermin birleştirilmesi ile elde edilen embriyolar anne adayına transfer edilinceye kadar 5 gün boyunca bu cihazın içinde korunuyor. İçerideki mikro kameralar da dakika dakika embriyoların gelişimlerini fotoğraflayarak dışarıya görüntü aktarıyor. Gelişimini takip etmemizi ve başarı şansı en yüksek olanı seçmemizi bu sağlıyor. Eski yönteme göre daha uzun süreli ve sağlıklı bir sonuca ulaşıyoruz bununla.





Seçtiğiniz yumurtada daha sonra kromozom bozuklukları vs. çıkmayacağını biliyor musunuz?

Ben bunu hastaya şöyle anlatıyorum: Biz en yakışıklısını seçiyoruz, zeki olduğuna dair bir bilgimiz yok. "24 sure" denilen bir test var şu anda. Daha önce de bu tip testler vardı ama bu kadar iyi değildi. Önceki testlerde biz bunların 5 ila 9’una bakabiliyorduk. Ve diyorduk ki 9’u iyiyse diğerleri de iyidir çünkü teknik o kadardı. Bu test ile artık 46 kromozomun 46’sına da bakabiliyoruz.






Üreme sorunları yaşayan herkes tüp bebekle çocuk sahibi olabiliyor mu? Yani garantili bir yöntem mi?

Günümüzde en başarılısı bu. Dolayısıyla daha az başarılı yöntemleri hastalara önermiyoruz. Şöyle örnek vereyim; tüp bebekten bir önceki tedavi aşılamadır. Aşılamanın başarısı ’tir. Tüp bebeğin başarısı aynı grup hastalarda %60. Kendi aramızda bunu ciddi anlamda tartışıyoruz.


Aşılama nedir?

Kadının yumurtlaması sağlanır. Erkekten alınan spermin iyisi kötüsünden ayrılır ve iyileri rahim içine verilir. Tüp bebekte ise yumurtayı alırsınız, dışarıda döllersiniz görür ve takip edersiniz. Ondan sonra beğendiğinizi transfer edersiniz. Bu tabii ki daha meşakkatli. Kitaplar şöyle yazar önce sen üç kere aşılama yap gebe kalmıyorsa, tüp bebek yap. Bizim kendi aramızdaki tartışma da şu: tıpta hiç bir tedavi yok ki % 85 başarısızlığa rağmen hastalara önerilsin.






"Kanser tedavisinden önce yumurta dondurtun"


Erken yaş kanserlerinde de artış var. Bu sebeple yumurta dondurmak için size gelenler de var mı?

Genç yaş kanserlerde artık %90 üzerindedir sağ kalım. Kanser vakaları da artıyor. Radyoterapi veya kemoterapi ile tedavi ediliyor; fakat o insanların anne olma şansı ortadan kalkıyor.


Ya da baba...

Erkeklerde spermin yeniden üretilme şansı var. Yani her kemoterapi alanın spermleri bitmez. Ama kadınlar belli bir depoyla doğarlar. Bir kadın hiçbir zaman yeni bir yumurta üretmez. Tedavilerde depo ortadan kalkıyor. Özellikle onkolojide çalışan arkadaşlara diyoruz ki tedaviye başlamadan önce mutlaka hastanın yumurtasını donduralım; çünkü bu teknoloji son iki senedir elimizde var. Fakat orada şöyle bir handikap var “Tanıyı bugün koydum yarın tedaviyi başlıyor.” Biz yumurta hangi seviyede olursa olsun toplayıp laboratuarda olgunlaştırdığımız bir program uyguladık. Sonra tüp bebek yapıyorduk. Aynı şey bu hastalara da uygulanabilir. Diyelim ki kanser bugün bulundu cumartesi tedaviye başlanacak. Cuma günü hasta bize gelir. Yumurtalar hangi seviyedeyse toplarız; sonra tüp bebek yaparız. Bunlar çok vaka olmadığı için deneysel kabul ediliyor.



Peki dondurulmuş yumurtayı ne kadar süre muhafaza edebiliyorsunuz?

Yüz sene saklayabiliriz. Hiçbir şey olmaz. Yani kanuni bir sınırlaması yok. Embriyo dondurulduğunda ise ancak beş sene saklayabiliriz.





Dondurulmuş embriyolar nasıl muhafaza ediliyor?

196 derecede sıvı azotun içinde saklıyoruz.



"İran’da Spermle Nikah Kıyılıyor"


Bizde başkasının yumurtasıyla hamile kalmak gibi bir şans var mı?

Kanunen yasak. Yunanistan'da yaptıranlar var. Esas Kıbrıs'ta yapılıyor.


Nedir buradaki problem?

İki problem var. Biri etik düşünülebilir. Yani başkasının yumurtası, farklı bir gen vs. İkincisi de hukuki olarak ciddi düzenlemelere ihtiyaç var.


Kimin çocuğu olduğuna dair karışıklık mı yaşanıyor?

Amerika'da yaşanmış olaylar var. Bu, göz korkutuyor. Nakil yumurtayla doğan çocuk geliyor 22-23 yaşına. Mahkeme kararıyla annesinin veya babasının kim olduğunu bulabilir. Bakıyor ki kadın milyoner. Mirastan pay istiyor. İkinci de: Diyelim ki yumurtanız yok ve bir kız kardeşiniz var. Kardeşiniz yumurta bağışına gönüllü oluyor ama çocuk doğunca "İçim rahat değil. O çocuk benim çocuğum, ben onu alacağım" diyor. DNA testi ile mahkemeye gidiyor ve çocuğu alıyor. Bu örnekler yüzünden Türkiye buna bulaşmak istemiyor.


Dini etki de yok mu sizce?

Mesela sperm donasyonu İran'da serbest. Peki nasıl? Kadınla sperm arasında bir nikah kıyıyor. Sperm veriliyor, boşanıyorlar. Böylece her şey kitabına uygun oluyor.



"Paris’te erkek kalmayacak"

Kısırlık özellikle erkeklerde ciddi artışta. Sperm, çevresel faktörlere çok duyarlı bir hücre. Elli sene öncesiyle bugünkü sperm ortalamaları arasında ciddi bir düşüş var. 2010 yılında Dünya Sağlık Örgütü sperm sayısı normalde yirmi milyonken on beş milyona düşürdü. Biz on sekiz milyonu kısır kabul ediyorduk. Sağlık Örgütü dedi ki bu sayıyı kısır kabul edersek herkes kısır sayılacak. Dolayısıyla erkek kısırlığında böyle bir artış var. Sebep yaşam tarzımız. Yaşama stresi, egzoz gazı, ozon deliği ve yediğimiz neredeyse her şeyin içinde katkı maddesi var. Mesela domates yiyorsunuz içinde fitoöstrojen var. Hepimizin cebinde cep telefonu önünde laptop. Bir elektromanyetik alanda yaşıyoruz. Bütün bunlar sprem kalitesini olumsuz etkiliyor. Paris’te bir çalışmada 2023’te Paris’te normal spermli erkek kalmayacağını açıklamışlar.


"20 ile 35 arası çocuk doğurma zamanı"

Kadınlarda yaşam süresi 80 yıl. 1950’lerde 50’de ölüyorlarmış. Dolayısıyla insan ömrünü öyle planlıyor. Yani ben 80 yıl yaşarsam daha geniş bir zamanım var, ona göre planlayayım diyor. Sonra da gazetelerde 50’sinde doğurdu, 60’ında tüp bebek yaptı haberleri çıkıyor. "Bir ara yaparız çocuk" düşüncesi var ama bu çok yanlış. Çünkü çocuk doğurma süresini 20 ile 35 yaş arasına yerleştirmek gerekiyor. İnsan bünyesi buna göre ayarlanmış. Bizim topluma "Kırkına da gelsen çocuk sahibi yaparız" düşüncesi empoze etmemiz yanlış.





Damla Çeliktaban


YORUMLAR

Yorum kurallarını okumak için tıklayınız!

İnternet sitemizde kullanılan çerezlerle ilgili bilgi almak ve tercihlerinizi yönetmek için Çerez Politikası, daha fazla bilgi için Aydınlatma Metni sayfalarını ziyaret edebilirsiniz. Sitemizi kullanarak çerezleri kullanmamızı kabul edersiniz.